Komplexní stomatologické ošetření

V některých případech si stav chrupu žádá víc než jen výměnu výplně nebo běžnou dentální hygienu. Pokud je potřeba řešit více problémů najednou, například poškozené zuby, chybějící části chrupu, záněty, bolest nebo funkční poruchy čelistního kloubu, přichází na řadu komplexní stomatologické ošetření.

Co to znamená?

Komplexní ošetření je pokročilý, individuální plán léčby, který zahrnuje více zákroků různých typů:

  • Fotokompozitní výplně zubů (výměna starých nebo nevyhovujících výplní)
  • Endodontické nebo reendodontické ošetření (ošetření nebo opakované ošetření kořenových kanálků)
  • Extrakce zubů (které již nelze zachránit nebo ohrožují zdraví okolních tkání)
  • Zavádění implantátů a protetické náhrady (nahrazení chybějících zubů pomocí implantátů, korunek, můstků nebo snímacích náhrad)
  • Funkční a estetická rekonstrukce chrupu (úprava skusu, náhrada opotřebených ploch a celkové zlepšení vzhledu úsměvu)
  • Léčba parodontitidy (ošetření zánětu dásní a závěsného aparátu zubů pro zachování vlastního chrupu)
  • Ortodontická léčba (napravení postavení zubů a čelistí pomocí rovnátek – klasických i neviditelných)
  • Řešení problémů s čelistním kloubem a skusem (analýza a léčba poruch žvýkacího aparátu, bolesti, lupání či omezené pohyblivosti)

Cílem je navrátit pacientovi plnou funkci, estetiku a zdraví ústní dutiny.

Jak takové ošetření probíhá?

  1. Podrobné vstupní vyšetření (rentgen, CT, fotodokumentace)
  2. Digitální skenování zubů pro přesné plánování
  3. Fotografie obličeje, které slouží k analýze estetiky úsměvu a symetrie obličeje
  4. MODJAW analýza – 3D snímání pohybu čelisti, které pomáhá pochopit funkční poruchy při žvýkání a skusu
  5. Konzultace s lékařem – představíme návrh řešení a vysvětlíme jednotlivé kroky
  6. Realizace ošetření v několika návštěvách, podle náročnosti

Proč je komplexní přístup důležitý?

  • Komplexní diagnostika odhalí i skryté souvislosti mezi jednotlivými problémy, které by při běžném ošetření mohly zůstat bez povšimnutí.
  • Lepší výsledky. Díky digitálnímu plánování a mezioborové spolupráci je výsledek funkční i estetický.
  • Dlouhodobé řešení. Nejde o „rychlou náplast“, ale o léčbu, která má vydržet.
  • Celostní přístup. Zohledňujeme i postavení čelistí, obličejovou symetrii, návyky a další faktory.

Pro koho je ošetření vhodné?

  • Pacienty s více problémy najednou (bolesti, kaz, ztráta zubů, opotřebované plomby atd.)
  • Ty, kteří chtějí zuby nejen opravit, ale i zlepšit funkčně a esteticky
  • Lidé, kteří dlouho péči o chrup odkládali a chtějí vše řešit komplexně
  • Pacienty, kteří nejsou spokojení se vzhledem nebo pohodlím svého chrupu

Máte zájem o konzultaci?

Objednejte se na konzultaci a zjistěte, jak by mohl vypadat váš individuální plán obnovy chrupu.

Help Us Image

Naše práce mluví za nás

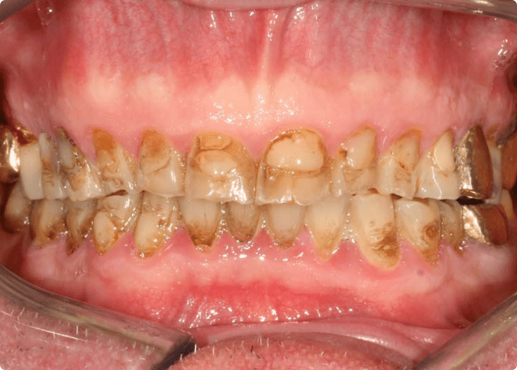
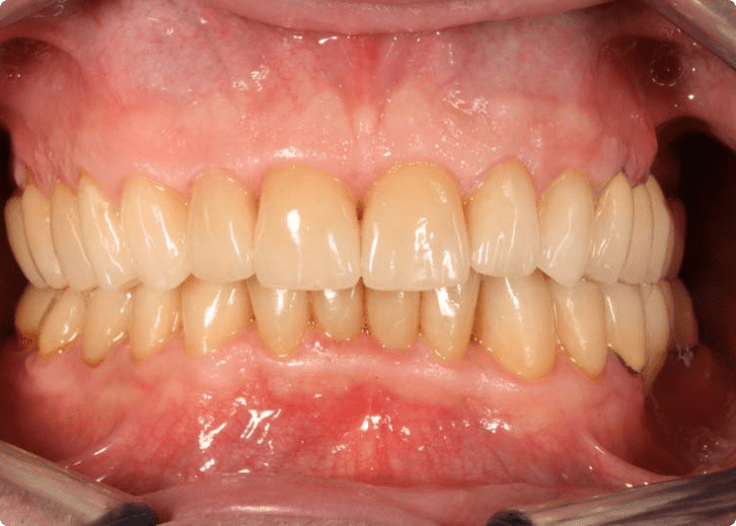
Ukázka zákroků

Before
Před zákrokem
After
Po zákroku

Šikl & Caha

Proč vybrat naši kliniku

Víme, že komplexní ošetření je velký krok a to časově, finančně i emočně. Proto vše plánujeme srozumitelně, s důrazem na spolupráci a důvěru. Využíváme nejmodernější technologie, ale zároveň nasloucháme.

Kontaktujte nás

Jak vám můžeme pomoci?

Ať už řešíte akutní potíže, plánujete estetické úpravy nebo hledáte špičkovou preventivní péči, jsme tu pro vás. Nabízíme komplexní služby, individuální přístup a citlivou péči.