Reference

5

Opravdový oborník

"Pan doktor Šikl je opravdový odborník a profesionál. Před zákrokem mi vždy vše podrobně vysvětlí a následně precizně a pečlivě vše provede. Jsem jeho pacientem již několik roků a vždy od něj odcházím naprosto spokojen. Jen více takových odborníků jako je on. "

5

Jsem velice spokojen

"Rád bych tímto poděkoval Dr. Cahovi za skvělý výkon, který předvedl při rekonstrukci mého chrupu. Nikdy bych předtím nevěřil, jak daleko je v dnešní době moderní stomatologie. Amalgámové plomby vyměněny za keramické, plus jiné moderní zásahy, které ani nedovedu z pozice pacienta popsat. Chrup nyní vypadá zcela autenticky. Jsem velice spokojen s prací doktora Cahy a vřele doporučuji všem, co by si přáli více než jen standardní ošetření, kterého se v dnešní době ještě stále běžně a rozšířeně dostává. "

5

Vysoce profesionální

Touto cestou bych ráda poděkovala panu MUDr. Šiklovi za vysoce profesionální péči o můj chrup. Kromě odbornosti, která se u lékaře předpokládá je třeba ocenit i úroveň komunikace s pacientem, od výkladu podstaty zákroku, který hodlá učinit, možnosti, které se pacientovi nabízí, rizika, která lze očekávat, až po vysoce profesionální ostatní služby (vstřícnost při určení termínu návštěv, aj). I tyto zdánlivé maličkosti určují celkovou spokojenost pacienta.

5

Nevídaná péče

Vážený pane doktore Caho, pravidelně chodím na zubní ošetření, ale takovou péči, kterou jsem absolvovala u Vás, jsem doposud nezažila. Mám před sebou několik návštěv a doufám, že budu mít zuby, které jsem všem záviděla. Zatím nemám důvod tomu nevěřit. Děkuji, děkuji, děkuji.

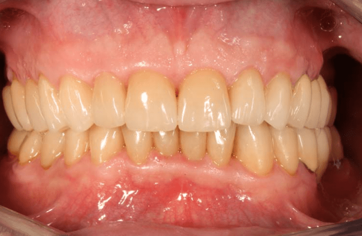
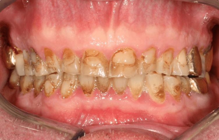
Ukázky zákroků

Podívejte se na konkrétní výsledky naší práce. Díky moderním postupům, preciznímu přístupu a zkušenému týmu dokážeme obnovit funkčnost i estetiku chrupu tak, aby výsledek odpovídal individuálním potřebám každého pacienta. Níže najdete reálné případy našich klientů – srovnání před a po.

MUDr. Michal Šikl

MDDr. Petr Caha

Často kladené otázky

1. Bolí zubní ošetření?

Ve většině případů ne. Ošetřujeme šetrně a bezbolestně – s využitím moderní anestezie a citlivého přístupu. Naším cílem je, abyste se u nás cítili co nejpohodlněji.

2. Musím se na první návštěvu nějak připravit?

Stačí si vzít kartičku pojišťovny. Pokud máte dokumentaci od předchozího zubaře (např. rentgeny), vezměte ji s sebou – pomůže nám při diagnostice.

3. Jak často mám chodit na dentální hygienu?

Ideálně každých 6 měsíců. U pacientů s vyšším rizikem kazu, krvácením dásní nebo parodontózou doporučujeme návštěvy častěji – dle individuálního plánu. Vše se dozvíte při první návštěvě.

4. Provádíte bělení zubů?

Ano. Nabízíme profesionální bělení zubů v ordinaci i domácí bělení s individuálně zhotovenými nosiči. Před každým bělením doporučujeme také dentální hygienu.

5. Přijímáte nové pacienty?

Ano, přijímáme nové pacienty do všech specializací kromě ortodoncie. Stačí se objednat online nebo telefonicky.

6. Ošetřujete i děti?

Ano. Dětské pacienty vítáme a přistupujeme k nim s ohledem na věk, zkušenosti i citlivost. Dětem pomáháme budovat důvěru a správné návyky od prvního zoubku.

7. Jaké typy rovnátek nabízíte?

Nabízíme fóliová (neviditelná), fixní i snímací rovnátka. Po vstupní konzultaci doporučíme nejvhodnější typ léčby s ohledem na potřeby a přání pacienta.

8. Jak je to s úhradou zákroků?

Některé výkony hradí pojišťovna, jiné jsou plně hrazeny pacientem. O ceně a možnostech platby vás vždy informujeme předem – transparentně a bez překvapení. Podívejte se na náš ceník.

9. Co když mám akutní bolest zubu?

V případě akutní bolesti nás kontaktujte co nejdříve. Uděláme maximum pro to, abychom vám zajistili termín v nejbližším možném čase.

10. Kolik návštěv budu potřebovat?

Záleží na typu ošetření. Jednodušší zákroky zvládneme během jedné návštěvy, složitější případy (např. rekonstrukce chrupu, ortodoncie) vyžadují léčebný plán rozvržený do více fází.

11. Provádíte ošetření pod mikroskopem?

Ano. Mikroskop využíváme standardně ve všech našich ordinacích.

12. Je bělení zubů bezpečné?

Ano, pokud probíhá pod odborným dohledem a s kvalitními materiály. Proto bělení vždy předchází vyšetření a dentální hygiena, které zajišťují bezpečný a účinný průběh.

13. Co když se mi mezi návštěvami zhorší potíže?

V takovém případě nás prosím kontaktujte. Vyhodnotíme situaci a nabídneme vám dřívější termín nebo doporučíme, jak postupovat do doby návštěvy.

14. Zvládnu léčbu i při náročném pracovním rozvrhu?

Ano, plán ošetření přizpůsobíme vašim časovým možnostem. Některé zákroky umíme spojit do jedné návštěvy, jiné lze naplánovat postupně s ohledem na vaši vytíženost.

15. Jak dlouho trvá ortodontická léčba?

Délka léčby se liší podle závažnosti problému a typu rovnátek. Většinou trvá 12–24 měsíců. Přesný časový plán vám sdělíme po vstupní konzultaci a vyšetření.

16. Jaká je čekací doba na první návštěvu?

Termíny nabízíme průběžně – záleží na vytíženosti lékaře. U běžných konzultací je čekací doba v řádu dnů až týdnů. Objednat se můžete online nebo telefonicky – u akutních potíží se snažíme najít termín co nejdříve.

17. Nabízíte preventivní péči?

Ano – prevence je nedílnou součástí naší filozofie. Nabízíme komplexní a individuálně vedenou preventivní péči, která pomáhá předcházet bolestem, zánětům i ztrátě zubů. První návštěva zahrnuje podrobné vyšetření, díky kterému sestavíme přesný léčebný plán. Cílem je zdravý a dlouhodobě stabilní chrup bez nečekaných komplikací.

Kontaktujte nás

Jak vám můžeme pomoci?

Ať už řešíte akutní potíže, plánujete estetické úpravy nebo hledáte špičkovou preventivní péči, jsme tu pro vás. Nabízíme komplexní služby, individuální přístup a citlivou péči.